Suppose you went to enjoy your vacation someplace far away from your city. Now as you are walking, you stumbled over a rock and fall on the ground with your face first.
Suddenly you hear the sound of the crack in your tooth and feel like you have lost a tooth. You can’t even visit a dentist as you are far away from the city so what would you do to avoid the permanent damage??
Also, Even if you are at home or in office and suddenly something went wrong with your tooth and an emergency occurs what would you do to avoid further damage until you visit the Doctor???
At this point, you would have wished if you knew about how to deal with such common dental emergency by yourself to prevent permanent damage before you can get necessary medical attention.
Just like any emergency, a dental emergency can come at any time, and when it happens, you need to be prepared for it.
It’s apparent that you should visit the doctor as soon as possible whenever an emergency occurs.
But, the best bet for you would be to know about things that you can do to prevent the damages from getting worse and ease up the pain temporarily before you reach the doctor.
Most dentists reserve time in their daily schedules for emergency patients. Call your dentist and provide as much detail as possible about your condition.
Some of the simplest precautions you can do just avoid the accident and all other injuries to the teeth:
- Wear a mouth guard when participating in sports or recreational activities.
- Avoid chewing ice, popcorn kernels, and hard candy, all of which can crack a tooth.
- Use scissors, Never your teeth, to cut things.
Many people do not take into account how to handle a dental emergency until they are in the midst of one.
Whether your tooth has been broken or knocked out completely, it is important to know where to go.
Anyone who has ever suffered from dental discomfort is well aware of how unbearable the pain can be. We realize that there is no time to waste when you are suffering from a dental emergency.
If you have damaged a tooth and are suffering from dental pain, it is important to contact a dentist immediately.
All the doctors have after-hour contact numbers for existing patients. In the event of a dental emergency, both new and existing patients will be provided appropriate care in a timely manner.
First, you have to understand the difference between standard health issue that can wait until a couple of days and a severe dental emergency that needs to be checked by a dentist as soon as possible.
The most important thing to know for all dental emergencies, things usually get worse the longer you delay dealing with the problem, and more expensive.
If you’re in too much pain to think straight, get a friend or family member to help you make a dental appointment and take the right steps to get out of pain until you can see the dentist.
So, let’s see what those common dental emergencies are and what you can do about them in case an emergency occurs before the condition get severe.
1.) Broken Braces
This is the most common issue and happens to a lot of people. If the wire breaks out then your gums, tongue, or cheek can get hurt by it.
To get that wire back to its proper position you can use pencil’s eraser at its end. You can also use orthodontic wax. Put a piece of orthodontic wax over wire’s end.

One important thing to note that do not try to cut the wire. If you cut the wire then you could swallow it.
If your mouth is paining due to the wire, take a one and half teaspoon of salt and pour it in 240 ml of water. Rinse your mouth with that salt water. It will ease the pain.
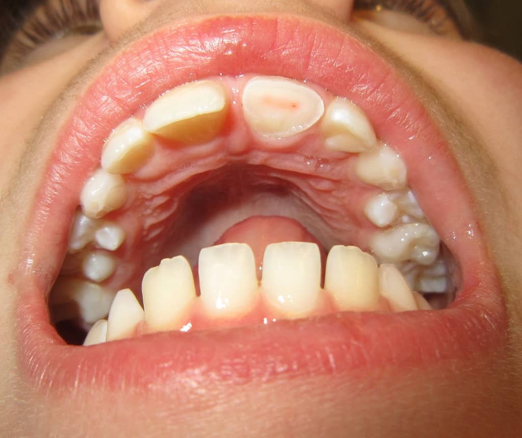
2.) Broken or Chipped Tooth
If your tooth gets broken or chipped, try to gather broken pieces as many as you can and save them. Put the wax paraffin on the broken or jagged edges. It will prevent your tongue from getting cut.

If it is paining a lot, take any painkiller like acetaminophen and rinse your mouth with salt water. Apply gauze on the bleeding part to stop the bleeding.
To reduce the swelling, apply a cold compressor on the outside of the mouth.
3.) Knocked out tooth
Grab the knocked-out tooth carefully without touching the root part. Root part is the part of the tooth which was under the gum. Hold it by the crown part. Try to put it back into the socket gently and see if it gets attached back to its place correctly. While doing this don’t apply the pressure.
If it doesn’t work, keep the tooth moist. Take a glass bottle and fill it with some milk. Then drop the tooth inside the milk to keep it moist. If milk is not available, put it in the water.
4.) Sudden toothaches
First of all, to reduce the pain take painkillers like ibuprofen or Paracetamol. Never apply aspirin near the aching tooth else you will damage the gum tissues. Rinse your mouth with salt water or warm water.
Try to remove accumulated food debris with dental floss. Place a cold compress on the outside of your swollen mouth or cheek. If you must eat, then eat soft foods and avoid chewing with the sore tooth.
5.) Loose bracket
Brackets attached to your every tooth are made of metal or ceramic pieces. The material they use to attach the brackets is called composite resin which is similar to the material used for fillings.
Whenever you chew something sticky or hard food, the material gets damaged. Eventually, it gets weaken and makes the brackets loose.
When you get the braces for the first time, your orthodontist gives you a special wax. Apply this wax over the braces to ease the discomfort.
Don’t panic! Most dental emergencies are nowhere near the severity of other medical emergencies. You should still call your dentist right away, but here are some tips just in case you can’t get an appointment quickly.
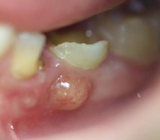
6.) Abscess
The abscess is usually an infection caused between the gum and tooth. It’s like a pimple swelling on the gum. To relieve the pressure, rinse your mouth with mild salt water several times a day. This will draw the puss out and ease the pain.

The abscess is a serious condition that needs immediate attention. If left untreated for a long-time infection will spread to other parts of the body as well so, it should never be ignored.
7.) Extruded tooth
If treatment is given in time, it’s possible to put the extruded tooth or loose tooth back to its socket. The process of putting the tooth back in its position can be painful, therefore sometimes the dentist uses dental sedation from Medicine Hat when IV access is not possible.
In the meantime, place a cold compress on the outside of the mouth for comfort. If the pain is unbearable, take Advil, or Tylenol to reduce the pain.
8.) Lost filling
No filling lasts forever. Eventually, they will come to their breaking point, and filling will fall out. Cover up the exposed area with a temporary filling material like a sugar-free gum.
Nerves that got exposed due to lost filling can be very sensitive to air pressure and temperature. It can be quite painful so, use over the counter medications if required.
9.) Lost crown
Take the lost crown and put it in a proper safe place. It can be quite painful as tooth tissue is now exposed and it is often sensitive to temperature and air pressure.

For pain relief take a little clove oil and apply it to the sensitive area using a cotton swab.
You can put the dental cemetery on the tooth surface. This will seal the area and protect it from getting exposed to the outside environment until you can see a dentist.
10.) Something is lodged between the teeth
Objects stuck between your teeth over a long time can cause the infections in your mouth. Use the floss to remove any food debris stuck between your teeth.
Never try to remove it using any sharp object. It can cause damage to your teeth and gums. Instead, use the floss, and slide it up and down gently. Sometimes rinsing your mouth with warm water also helps to remove the stuck objects.
If your symptoms are life-threatening, go to the closest emergency room.
Life-threatening symptoms include:
- Inability to swallow
- Inability to breathe
- Severe swelling
- Uncontrollable bleeding
Emergency dental services or urgent dental care includes exams, tests, treatments and procedures that relieve sudden dental symptoms and address conditions that could become worse if treatment is delayed.
Remember, all of the above methods are just a temporary solution until you reach the dentist and get the proper dental treatment.
So, even if the problem gets resolved using the above techniques don’t think that you no longer need to visit the dentist anymore.
The issue will get even worse in future if you don’t get it checked by your dentist.

Hey, this is Sara O Brown, the Author of this article. I’m a working mom, lives with my husband who is a Dentist and an adorable dog, Casper. I’m just passionate about traveling and cooking. Find out more of my recent writings at – Med Dent Safety
Very nice article. …must read this for more.